
近日,我院消化内科团队成功开展消化道早癌内镜黏膜下剥离术(ESD),手术过程顺利。
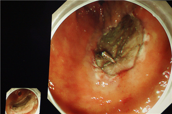
患者赵**,男,67岁,因“间断腹痛1年余”入院。患者于1年前出现间断腹痛,在我院行胃镜及病理检查示胃体高级别上皮内瘤变,采取口服药物治疗保守,效果不佳。近期患者再次到我院进行行胃镜及病理检查示胃体高级别上皮内瘤变,为切除病变组织,防止病情进一步发展,于11月2日在我院消化内镜室行内镜黏膜下剥离术(ESD)治疗。手术过程顺利,切除病变组织完整,便于进一步病理检查及治疗。目前患者已恢复流质饮食,可下床活动。
内镜黏膜下剥离术(ESD)是在内镜下黏膜切除术(EMR)基础上发展而来的新技术, 治疗主要针对早期消化道癌和癌前病变。方法是在内镜粘膜下注射基础上利用几种特殊的高频电刀将病变所在黏膜剥离而达到治疗目的的内镜下操作技术。通过ESD可完整地切除病变,达到根治消化道肿瘤的效果。让更多的早期消化道癌能够在内镜下一次性完全切除,免除了开腹手术的痛苦和器官的切除。
ESD治疗适应症包括:
1、食管病变:
1)Barrett食管
2)早期食管癌:局限在粘膜层和没有淋巴结转移的粘膜下层早期食管癌
食管癌前病变:直径﹤2cm的病灶采用EMR,直径﹥2cm的病灶推荐ESD治疗
4)食管良性肿瘤:包括息肉、平滑肌瘤、食管乳头状瘤等
2、胃病变:
1)早期胃癌 ①肿瘤直径 ≤2cm,无合并 存在溃疡的未分化型粘膜内癌;②不论病灶大小,无合并存在溃疡的分化型粘膜内癌;③肿瘤直径≤3cm,合并存在溃疡的分化型粘膜内癌;④肿瘤直径≤3cm,无合并溃疡的分化型粘膜下层1癌。
2)癌前病变直径﹤2cm的病灶采用EMR,直径﹥2cm的病灶推荐ESD治疗
3)良性肿瘤 如胃息肉、胃间质瘤、异位胰腺、脂肪瘤等,包括部分来源于固有肌层的肿瘤。
3.大肠病变:
1)巨大平坦息肉 直径﹤2cm的息肉采用EMR,直径﹥2cm的平坦息肉建议采用ESD治疗,可一次性完整切除病灶,降低复发率。
2)粘膜下肿瘤 来源于粘膜肌层或位于粘膜下层的肿瘤,通过ESD可以完整剥离;来源于固有肌层的肿瘤,不主张勉强剥离。
3)类癌 尚未累及肌层的直径<2cm类癌可以通过ESD完整切除,位于直肠的类癌一般可以切除。
ESD扩大了普通内镜下切除的适应症,成为治疗胃肠道早期癌及癌前期病变的有效手段。通过ESD可完整地切除病变,达到根治消化道肿瘤的效果。与外科手术相比,ESD创伤小,患者易耐受,可以根据病变的部位、大小、形状和组织类型制定合理的个体化治疗方案,既能保证肿瘤的彻底切除,又能最大限度地保留正常组织及其功能,同一患者可接受多次ESD治疗,同时一次也可以进行多部位治疗。
消化道不适患者要及早进行胃镜、肠镜检查,可直观的观察胃肠道粘膜的状态,及早发现病变组织,真正做到早诊早治,防患于未然!
肥城矿业中心医院胃镜室咨询:3158481


